Problems We Treat
Crowding
Crowding of teeth is one of the most common orthodontic problems we treat. Although several factors influence crowding, the most common cause is related to a size discrepancy between the jaws and the teeth. Crowding can present esthetic concerns for patients and also contribute to difficulty keeping the teeth clean.

Spacing
Excess spacing of teeth is also a common orthodontic problem we treat. Size discrepancies between the jaws and the teeth, teeth that are smaller than average, the presence of a deepbite, or a tongue thrusting habit are just a few examples of different factors that contribute to excess spacing.
.jpg)
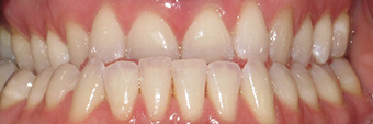
Deepbite
Deepbites are another common orthodontic problem related to the growth patterns of the jaws and the amount of eruption of the front teeth. With deepbites there is an excessive amount of vertical overlap of upper and lower front teeth. Typically most of the lower teeth are not visible. Left untreated, deepbites can contribute to abnormal wear to permanent teeth and problems with the bite.

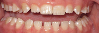
Openbite
Openbites are related to a lack of vertical overlap of the upper and lower front teeth. There are many different factors that can contribute to an openbite such as a thumb/finger sucking habit, an abnormal swallowing pattern, or altered patterns of growth/development of the jaws. These type of bites can often lead to speech problems and chewing difficulties.

Anterior Crossbites
Anterior crossbites occur when one or multiple upper front teeth are positioned behind the lower frontteeth. Typically these are caused by an altered eruption path of a front tooth or abnormal tooth positioning due to the presence of crowded teeth. Anterior crossbites have the potential to cause bite problems and can lead to gum recession problems to the front teeth.

Posterior Crossbites
Posterior crossbites occur when the lower dental arch is wider than it should be relative to the upper arch.

Overbite
An overbite occurs when the lower jaw is receded relative to the upper jaw. This is typically due to a skeletal growth abnormality such as a lower jaw that is small in size or an upper jaw that is larger than normal.
.jpg)
Underbite
An underbite occurs when the lower front teeth are positioned in front of the upper front teeth when the patient bites down. This can be due to a skeletal growth abnormality such as an upper jaw that is small in size or a lower jaw that is larger than normal. This can also be caused by an abnormal bite that leads to the patient shifting their lower jaw forward when biting down.

Tooth Impactions
Impacted teeth are teeth that do not fully erupt through the gums and into the mouth. They can contribute to space loss problems in the mouth leading to shifting of teeth and can also cause problems with the bite.

Tooth Size Discrepancies
Tooth size discrepancies can occur in either arch when a tooth is either smaller or larger than normal. When this occurs it can impact the smile and often the bite.

Abnormal Tooth Wear
Abnormal tooth wear can be caused by a number of different factors such as a bad bite, clenching/grinding habits, or chemical erosion of teeth. Over time this can lead to shortening of teeth, which often requires dental restorations to replace the missing tooth structure.
